-
服药3年病情加重 来我院寻求个体化科学治疗
来源:郑州骨科医院来自三门峡市灵宝的孙先生来到我院(郑州痛风风湿病医院)进行治疗,自述患上痛风3年,期间反复出现手、踝关节交替性疼痛,夜间、早晨最为显著,伴颈椎僵硬疼痛不适,急性期自行口服用药(秋水仙碱、痛风舒片等),效果不佳,病情反复后加重,右足第一趾关节痛风石破溃,为求科学治疗方案,近期于我院就诊。
该患者的相关情况,由主治医生助理跟踪记录,内容属实
任何同行与机构未经本人同意,不得转载
==================================
【患者信息】
姓名:孙先生
年龄:55岁
所患疾病:痛风①早期②发展期
病龄:3+年
【患者病情】
患者自诉痛风3+年,患病期间反复出现双踝、双手关节交替性疼痛,伴颈椎僵硬疼痛不适,影响到正常的工作和生活。因不了解痛风,患病期间,患者从未接受过任何规范治疗,在痛风急性发作期,自行口服用药(秋水仙碱、痛风舒片等)暂时缓解,但效果不佳,后病情反复发作,右足第一趾关节痛风石破溃。为避免病情加重,患者于近日到我院寻求治疗。

(图:孙先生右脚第一趾关节痛风石溃破)
【检查情况】
实验室检查:尿酸688.0μmol/L,肌酐69.9μmol/L,血清白蛋白测定51.1g/L,免疫球蛋白29.60g/L,总蛋白测定80.7g/L。
查体:双手、踝关节轻度异常,右足第一趾关节痛风石溃破。

(图:孙先生入院检查单)
【临床诊断】
痛风①早期②发展期
【治疗过程】
主治医生根据各项检查结果结合病情分析,患者可能是自身免疫、药物、过度劳累、运动过度等因素诱发的痛风,考虑到患者病情较为严重,已累及到颈椎,且故为其制定了个体化的治疗方案,以帮助患者缓解疼痛,控制病情发展。

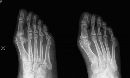
(图:患者既往X光显示右脚轻度变形且伴有痛风石)
采用小针刀+穴位注射为患者右足第一趾关节进行清创治疗,配合使用非布司他缓解症状,从源头降酸、清除体内免疫复合物、调节体内代谢、改善微循环、平衡免疫机制、以达到恢复患者体内嘌呤代谢正常,血尿酸平衡,起到免疫并真正意义上抗复发的作用, 修复患者受损骨质,防止反复发作。
主治医生临床指导:
痛风患者的治疗及 ,是一个需要长期坚持的过程,在治疗后的及时复诊及巩固治疗能加强治疗效果,是 的关键。另外,患者用药应根据病情 情况,在专业医生的指导下进行及时调整,以巩固治疗效果,尽早达到临床 标准。
文章部分文字、图片、数据、视频等内容信息来源于互联网,版权归原作者所有,如有侵权请立即联系删除。

0371-55133028



